Before undergoing cataract surgery, it is necessary to measure various parts of the eye, including its length and front curvature. This is necessary for two reasons:
There are two types of technologies for measuring the eyes: the ultrasound-based method, and the light-based technology (Zeiss IOL Master). The IOL Master uses an infrared laser (wavelength 780 nm) linked to a computer to scan and analyze the dimensions of the eye.
The advantages of the IOL Master are:

Ophthalmic ultrasound device for measuring the eye.
The iTrace measures the quality of vision and visual function using a fundamental thin beam principle of optical ray tracing, a first in eye care diagnostics.
The iTrace sequentially projects 256 near-infrared laser beams into the eye to measure forward aberrations, processing data point-by-point.
This 5-in-1 system provides auto-refraction, corneal topography, ray tracing aberrometry, pupillometry and auto-keratometry.

iTrace Wavefront Aberrometer

Optical Alignment - The iTrace helps to determine if a multifocal lens implant would be appropriate for the visual system of the eye.

Separate Cornea and Lens - By determining how light travels in the eye, the iTrace provides important information to allow the best choice of lens implant for each eye.

Toric Precision - With iTrace, there is improved precision when using Toric Lens Implants compared to traditional measurement methods.
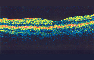
Optical Coherence Tomography (OCT) is performed as required to analyse the various structures of the eye. This test is like an ultrasound except that instead of using sound waves, it uses an infrared laser beam.
Without touching the eye, it provides images of the back of the eye (retina) as well as the front of the eye (cornea). This is the same technology used by the IOLMaster for measuring the dimensions of the eye. It provides very fine detail, down to the range of microns.
In addition to the examination by the ophthalmologist, this scan provides important information about the health of the eye as well as providing information that is important in planning cataract surgery.

An example of mapping of the front of the eye.

Normal retina.